Để tìm ra cách điều trị viêm lợi và bệnh liên quan đến răng miệng, báo Y Học Sức Khỏe đã tổ chức cuộc phỏng vấn những bệnh nhân đang bị viêm lợi tại Viện răng hàm mặt của những bệnh viện lớn cho kết quả sau:
- 82% đã từng uống thuốc Tây
- 71% đã dùng nước súc miệng
- 79% đã từng dùng những phương pháp dân gian
- 67% đã từng đi lấy cao răng
Phần lớn bệnh nhân đều khẳng định:
- Thuốc tây tác dụng nhanh nhưng hiệu quả trong thời gian ngắn, khi ngưng sử dụng bệnh lại tái phát. Nhiều bệnh nhân còn gặp phải tác dụng phụ gây đau dạ dày, sử dụng thuốc Tây quá nhiều khiến dư chất tích tụ gây suy gan, thận nặng. Đặc biệt không dùng được cho phụ nữ có thai vì dễ ảnh hưởng tới thai nhi.
- Dùng nước súc miệng, lấy cao răng hay phương pháp dân gian như dùng mật ong, lá trầu không, nước muối… tốn rất nhiều thời gian điều trị mới có hiệu quả. Hơn nữa, những phương pháp này chỉ có tác dụng trường hợp bệnh nhẹ mới bị lần đầu còn khi bệnh đã nặng thì không còn tác dụng gì.
- Những bệnh nhân đều cho biết khi sử dụng phương pháp này chỉ hết tạm thời nhưng sau đó bệnh lại tái phát trở lại trong thời gian ngắn kèm theo những triệu chứng nặng hơn như sưng to, chảy máu, đau nhức, miệng rất hôi, tụt lợi, răng lung lay.
- Nguyên nhân là những phương pháp kể trên mới chỉ làm ức chế hoạt động vi khuẩn gây viêm tạm thời mà không có tác dụng đủ mạnh để tiêu diệt chúng.
Vậy có phương pháp nào tốt nhất để điều trị?
Qua giới thiệu của những bệnh nhân viêm lợi nặng đã từng điều trị có kết quả tốt chúng tôi đã có được thông tin của bác sĩ Vũ Ngọc Minh (trưởng khoa Răng Hàm Mặt Bệnh viện đa khoa Việt Nhật), một người nổi tiếng trong ngành y với những bài thuốc trị bệnh không tái phát. Phóng viên báo Y Học Sức Khỏe đã mời những bệnh nhân bị viêm lợi nặng cùng tìm đến bác sĩ, để tìm được câu trả lời.
“Trích nguyên văn câu trả lời của bác sĩ như sau”
Phóng viên: Xin bác sĩ cho biết những nguyên nhân gây bệnh ạ
Bác sĩ Minh: Có nhiều nguyên nhân dẫn tới bệnh viêm lợi như: vệ sinh răng miệng không kỹ dẫn tới mảng bám, vi khuẩn tấn công, do thay đổi nội tiết ở phụ nữ mang thai, mọc răng, nhiệt miệng cơ thể quá nóng, bọc răng sứ, sức đề kháng suy giảm… nhưng nguyên nhân chủ yếu là do vi khuẩn. Những cách điều trị viêm lợi thông thường chỉ mới có tác động nhẹ trong khi rất nhiều trường hợp vi khuẩn xâm lấn trong máu, tấn công tủy bên trong, bệnh nhân không chỉ bị những triệu chứng sưng mà còn chảy máu, đau nhức, hôi miệng thậm chí tụt lợi khiến răng lung lay, lâu ngày bệnh lan xuống họng và các khu vực xung quanh gây viêm nặng, biến chứng thành ung thư vòm họng sau vài năm. Trong khi đó kháng sinh lại chỉ làm suy yếu chứ không thể tiêu diệt vi khuẩn khiến cho bệnh liên tục tái phát, nhất là những người có sức đề kháng kém.

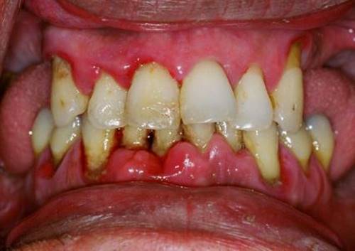
Hình ảnh bệnh nhân viêm lợi kèm triệu chứng sưng, đỏ, chảy máu, tụt lợi
Anh Tùng (bệnh nhân đi cùng): lợi của em bị sưng đỏ , hay bị đau buốt, thỉnh thoảng chảy máu khi đánh răng, miệng có mùi hôi. Em có dùng nhiều loại nước súc miệng như Nutriidentiz, Sindolor, Yên Tử, Kohinoor và uống cả kháng sinh nhưng chỉ được một thời gian ngắn lại tái phát, bây giờ răng còn bị lung lay mạnh, không bám chắc vào hàm. Bệnh lại nặng ra thêm, vậy thưa bác sĩ có phương pháp nào trị mà không phải uống thuốc Tây hay dùng nước súc miệng cả đời không ạ.
Bác sĩ Minh: Phần lớn bệnh nhân đã đi khám ở nhiều nơi và được các bác sĩ chẩn đoán đúng tình trạng bệnh của mình, tuy nhiên lại gặp bế tắc trong phương pháp điều trị. Những biện pháp súc miệng chỉ có tác động bên ngoài, còn vi khuẩn trong máu không được tiêu diệt nên chỉ trong vòng 2 tuần hay bị tái phát lại. Kháng sinh dùng trong thời gian dài dễ gây nhờn thuốc khiến bệnh càng nặng thêm. Do đó để điều trị tránh tái phát về sau cần bài thuốc có nguồn gốc từ những loại thuốc quý có dược tính cao để giúp điều trị triệt để những triệu chứng của bệnh. Tôi sẽ cho anh bài thuốc được sử dụng điều trị cho nhiều bệnh nhân nhất, bài thuốc bao gồm: xạ can 7g, ngũ bội 26g, tiền hồ 32g, đinh hương 19g, thiên trúc hoàng 11g, sinh khương 16g, tam tiên 12g, huyền hồ 8g, hương phụ 12g, bồ hoàng 14g, bạch cương tàm 12g, thiên môn di 9g, ngũ bội tử 8g, mộc miết đằng 16g, lục phàn 18g, minh tàng 7g, hoàng liên 13g.
Đem đun hỗn hợp ở nhiệt độ cao để tách lấy tinh chất. Làm nguội dung dịch, sau đó tiếp tục đưa dung dịch qua máy diệt khuẩn bằng tia cực tím để đảm bảo vô trùng. Tiếp tục đưa qua máy tách lọc nước để lấy tinh chất khô, phần này được tán thành bột mịn và đóng gói để tăng thời gian bảo quản. Mỗi ngày bệnh nhân lấy gói thuốc đã được bào chế đóng gói sẵn để pha nước ấm uống để điều trị hàng ngày, dùng kết hợp cả bôi ngoài và uống sau bữa ăn tối để điều trị.
Lưu ý: quy trình điều chế thuốc rất phức tạp, để đảm bảm chất lượng tốt nhất thì bệnh nhân có thể liên hệ bác sĩ qua zalo hoặc điện thoại để mua loại thuốc đã điều chế xong và đóng gói sẵn để sử dụng luôn.

Tư liệu những vị thuốc quý được sử dụng trong bài thuốc đặc trị viêm lợi
Bài thuốc không chỉ giúp diệt khuẩn mạnh mẽ mà còn có khả năng thanh nhiệt, cải thiện hệ miễn dịch giúp bệnh nhân hồi phục nhanh chóng đồng thời giúp cơ thể trở nên khỏe mạnh với sức đề kháng được nâng cao để chống lại rất nhiều bệnh lý nguy hiểm.
Hiện nay, bệnh viện đã hợp tác với tập đoàn Y dược Phúc Hoàng Thọ cùng điều chế thuốc đóng gói sẵn để bệnh nhân dễ sử dụng.
Anh Huy (bệnh nhân): Vâng, vậy thì như cháu nhà em 2 tuổi bị sâu răng lây lan làm sưng lợi, miệng hôi, hay chảy mủ và chảy máu, bị tụt chân răng lâu rồi thì có điều trị được không ạ
Bác sĩ Minh: Có, bài thuốc sẽ giúp diệt khuẩn và hồi phục mô lợi, ngăn ngừa chảy máu, chảy mủ giúp răng chắc khỏe. Ngoài ra những trường hợp dưới đây có thể sử dụng thuốc này.
Bài thuốc đặc trị viêm lợi nặng dùng để điều trị những triệu chứng như sau:
- Đau nhức lợi
- Lợi sưng tấy, đỏ lợi
- Dễ chảy máu dù chỉ tác động nhẹ, đặc biệt khi đánh răng
- Chảy mủ chân răng
- Tụt lợi khiến răng lung lay
- Viêm nha chu
- Nhiệt miệng
- Sâu răng, dau nhức răng, ê buốt răng
- Hôi miệng
- Viêm tủy răng
- Răng bị lung lay, gãy rụng
Những trường hợp có thể sử dụng thuốc đặc trị:
- Nhiễm trùng răng miệng
- Người bọc răng sứ
- Viêm do thay đổi nội tiết ở phụ nữ mang thai
- Viêm do biến chứng suy thận mạn, tiểu đường
- Sưng do viêm lợi trùm
- Trường hợp đang mọc răng ở trẻ nhỏ và người lớn
- Người hay sử dụng rượu bia, thuốc lá gây viêm
- Sâu răng lan xuống lợi
Chị Ngọc Anh (bệnh nhân): em đi bọc răng sứ và bị viêm lợi, rất hay sưng và chảy máu. Răng bắt đầu đau nhức từ khi mang thai, giờ em đang cho con bú thì điều trị ra sao ạ
Bác sĩ Minh: Vâng, chị có thể kết hợp bôi và uống, vì đây là những vị thuốc đông y lành tính đã được lựa chọn thích hợp dùng cho những người có sức khỏe yếu như phụ nữ mang thai hoặc đang cho con bú. Nó không gây tác dụng phụ nên có thể dùng điều trị. Chị nên ăn thêm nhiều loại rau mát để giúp thanh nhiệt cơ thể.
Phóng viên: Vậy thời gian điều trị là bao lâu ạ
Bác sĩ Minh: Phần lớn bệnh nhân bình phục trong 6 ngày. Một số trường hợp bệnh nhẹ thì hết bệnh nhanh hơn còn những người bệnh nặng lâu năm có thể mất thêm vài ngày.

Chị Nguyễn Phương Lan là bệnh nhân đã hết bệnh sau khi điều trị
Lưu ý để thuốc điều trị viêm lợi đạt hiệu quả cao nhất thì trong thời gian điều trị nên kiêng những thức ăn, gia vị cay nóng. Bổ sung nhiều rau xanh, trái cây để giúp thanh nhiệt cơ thể, ăn uống đủ chất và khoa học chứ không nên chỉ ăn quá nhiều thịt, có như vậy thời gian điều trị sẽ được rút ngắn rất nhanh hết bệnh.
Tác dụng của thuốc và thời gian điều trị phụ thuộc vào tình trạng bệnh nặng hay nhẹ của bệnh nhân. Vì vậy quý vị nên liên hệ trực tiếp với Bác sĩ Minh theo số 0918 230 154 hoặc 0971 680 029 để biết được tình trạng bệnh của mình cũng như nghe bác sĩ tư vấn sử dụng thuốc và biện pháp điều trị tốt nhất. Bệnh nhân có thể mua thuốc trực tiếp tại bệnh viện đa khoa Việt Nhật (địa chỉ duy nhất) hoặc nếu ở xa không có điều kiện đi lại sẽ được bác sĩ hỗ trợ gửi thuốc về tận nhà.
Xem thêm chi tiết về bài thuốc xin mời ấn vào đây
Theo báo Y Học Sức Khỏe, bài viết có sử dụng tư liệu hình ảnh những cây thuốc trong công trình nghiên cứu khoa học của bác sĩ Trần Đức Hoàng và đồng tác giả bác sĩ Vũ Ngọc Minh.

t uống dc 2 hôm rồi đỡ đau hơn trước, giảm được khoảng 80%. Mong rằng sẽ trị dc hết hoàn toàn
sau khi dùng thuốc của bác sĩ em thấy không sưng đau nữa, có thể ăn được rồi, chỉ thỉnh thoảng hơi chảy máu, giờ em đặt thêm 1 liều nữa cho nó hết hẳn. Bác sĩ gửi giúp về địa chỉ 58 Võ Văn Tần, phường 6, quận 3, TP Hồ Chí Minh
nhà tôi đang ở gần bưu điện, nhờ bác sĩ chuyển qua với ạ. tến tôi là Hoàng Quốc Thành, ở tại số 8 tổ 11, An Điền 2, Trung Hiếu, Vũng Liêm, Vĩnh Long
vẫn đang tiếp tục bôi và uống thấy tác dụng khá ổn hy vọng hết hẳn
mấy ông bác sĩ chỗ quận 3 cứ bảo phải nhổ răng nhưng may có thuốc này đã hết, không cần nhổ nữa. Cảm ơn bác, chúc bác sức khỏe và giúp cho nhiều người hết bệnh hơn nữa
Em ở xa không đến mua được, bác gửi cho em về ủy ban xã Tân Lễ, Hưng Hà, Thái Bình với. Em nhận thuốc xong trả tiền cho bưu điện luôn nhé
tôi 56 tuổi, trước đã nhổ 3 cái răng do viêm, có uống thuốc Tây nhưng nó lại lây sang những cái bên cạnh. Giờ tôi muốn dùng thuốc của anh để trị hết bệnh vì tôi không muốn nhổ nữa, anh cho tôi 2 đợt thuốc về 14 ngõ 1 Cầu Đơ, Hà Cầu, Hà Đông
vợ em đã hết bệnh rồi không chảy mủ nữa, thank bác
Ngô Phú Khoa, hôm trước em tới mua mà đông quá xếp hàng chờ mãi, bác xem gửi nhanh đợt 2 giúp em tới 21 Trần Đại Nghĩa trong ngày nhé
e ở ngay hà nội thôi, bác chuyển thuốc này tới nhà N2, phòng 305, ngõ 40 Vạn Bảo, gọi trước 1 tiếng trước khi đến nhé
do tính chất công việc bắt buộc phải uống rượu bia nên hay tái lại, em uống kháng sinh nhiều quá, lần này nó nhờn thuốc không hết bệnh. Bác cho em 1 liệu trình thuốc Đông y này về 248/23 Nguyễn Thái Bình, phường 12, Tân Bình, TP Hồ Chí Minh. Em muốn trị hết bệnh